〒113-0001 東京都文京区白山1-33-27 HDCビル1F
都営三田線「白山駅」A2出口より徒歩1分、東京メトロ南北線「本駒込駅」より徒歩4分

電話でのお問合せ・入れ歯相談予約

0120-835-327

ドイツ式入れ歯の画像症例集

一人ひとりの悩みに寄り添ったドイツ式入れ歯の症例を画像でご紹介します。

ブリッジが取れそう

噛めない

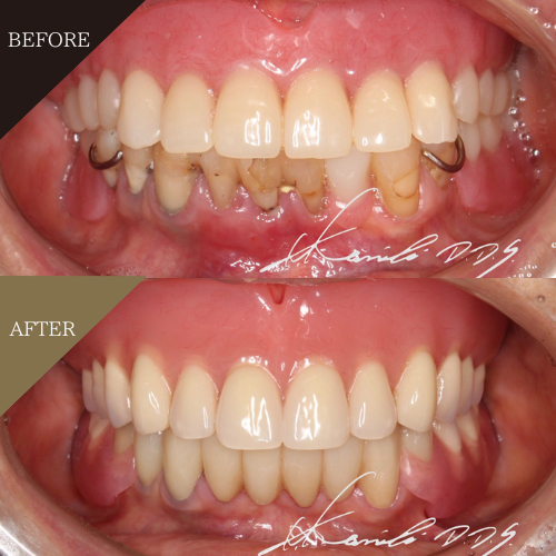
case1

下の歯が歯周病で、歯もブリッジもグラグラ

50代男性

主訴

下のブリッジをしている歯が歯周病になってきて治療が必要だと思うが、自分の歯を1本でも残して治療をしたい。上あごは総入れ歯が合わない、噛めない。
治療内容
下あごをレジリエンツテレスコープ、上あごは自費の総入れ歯にて治療。同時に歯周病治療、噛み合わせ治療を実施。
治療費

下あご:1本の歯を利用したレジリエンツテレスコープ 231万円(税込)
上あご:総入れ歯 132万円(税込)

リスク・副作用

土台となるご自身の歯を削る必要があります(削る量は個人差があります)。
治療時に出血を伴う可能性があります。

下あごは全体的に重度の歯周病で、奥歯のブリッジも前歯もグラグラで今にも抜け落ちそう、上あごの総入れ歯は合っていなくて、噛めない状態でした。

自分の歯を1本でもいいから残したいというご希望もあり、下あごはレジリエンツテレスコープで治療。1本だけなんとか歯を残すことができました。噛めるようになっただけでなく、見た目もとても自然で、口をあけても入れ歯と気づかれません

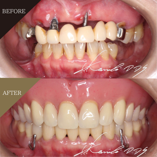
case2

上あごのブリッジが取れそう

50代女性

主訴

上あごのブリッジが取れそうなので治療したい。インプラントは何本もしないといけないので相談して治療方法を決めたい
治療内容
上あごをレジリエンツテレスコープにて治療、同時に歯周病治療、虫歯治療、噛み合わせ治療を実施。
治療費

上あご:6本の歯を利用したレジリエンツテレスコープ231万円(税込)

リスク・副作用

土台となるご自身の歯を削る必要があります(削る量は個人差があります)。
治療時に出血を伴う可能性があります。

上あごは奥歯がなく、上あご全体に大きなブリッジがかぶさっていましたが、今にも取れてしまいそうな状態でした。

再びブリッジにすると残っている前歯6本への負担が大きすぎ、数年後には前歯も抜けてしまう恐れがあったため、歯を守れるレジリエンツテレスコープで治療しました。

case3

ブリッジが取れそうで食事ができない

50代女性

主訴

上のブリッジがダメになって、食事がとれないのできちんと治したい。
治療内容
上あごをレジリエンツテレスコープ、下あごはセラミッククラウンとキャストパーシャルデンチャーにて治療。同時に歯周病治療、根管治療、虫歯治療、噛み合わせ治療を実施。
治療費

上あご:4本の歯を利用したレジリエンツテレスコープ231万円(税込)。
下あご:セラミッククラウン15万4千円(税込)×8本+キャストパーシャルデンチャー52万8千円(税込)。

リスク・副作用

土台となるご自身の歯を削る必要があります(削る量は個人差があります)。
治療時に出血を伴う可能性があります。

上の前歯が重度の歯周病のためにグラグラになり、ブリッジが今にも取れそうで、食事がとれなくなっていました

上の奥歯を4本残せたので、この4本を守りながら噛めるようにするレジリエンツテレスコープで治療しました。上の歯が見違えるようにキレイになり、食事の不自由もなくなりました

case4

ブリッジがグラグラで取れそう

50代女性

主訴

上のブリッジがグラグラになって、抜かないといけないのできちんとした治療を受けたい
治療内容
下あごをコーヌステレスコープ、上あごは自費の総入れ歯で治療。同時に歯周病治療、根管治療、虫歯治療、噛み合わせ治療を実施。
治療費

下あご:7本の歯を利用したコーヌステレスコープ308万円(税込)。
上あご:自費の総入れ歯132万円(税込)。

リスク・副作用

土台となるご自身の歯を削る必要があります(削る量は個人差があります)。
治療時に出血を伴う可能性があります。

上の前歯が重度の歯周病のためにグラグラになり、ブリッジが今にも取れそでした。下あごも歯周病で歯ぐきが下がり、歯の根元が虫歯であちこち黒ずんで見た目も良くありません。

上の歯は残念ながら残せる歯がなかったため、総入れ歯で治療しました。下の歯は7本歯が残っており、しっかりしている歯も多かったので、コーヌステレスコープで治療。噛めるようになり、見た目もキレイで、歯を見せて笑っても入れ歯と気づかれません

case5

ブリッジがグラグラ
インプラントは怖いので入れ歯にしたい

60代女性

主訴

前歯のブリッジの歯が折れていて、歯を抜かなければいけない。抜いた後はインプラントは怖いので、入れ歯にしたい。入れ歯は保険の入れ歯は使えないと聞くので保険外で、良い治療方法を提案してほしい。
治療内容
下あごをコーヌステレスコープ、上あごはレジリエンツテレスコープにて治療。同時に歯周病治療、根管治療、虫歯治療、噛み合わせ治療を実施。
治療費

下あご:6本の歯を利用したコーヌステレスコープ 308万円(税込)。
上あご:3本の歯を利用したレジリエンツテレスコープ 231万円(税込)。

リスク・副作用

土台となるご自身の歯を削る必要があります(削る量は個人差があります)。
治療時に出血を伴う可能性があります。

上あごは度の歯周病グラグラになりブリッジが取れそう、下あごは前歯は比較的しっかりしているものの、奥歯は神経を取った銀歯が多く弱っていました。銀歯が目立って見た目も良くありません。

上あごは3本の歯を利用したレジリエンツテレスコープで治療。下あごは、しっかりしていた前歯6本を利用してコーヌステレスコープで治療しました。噛めるようになったのはもちろん、銀歯がなくなりキレイな口元になりました。

case6

保険の部分入れ歯を使っていたら
どんどん抜けて2本しかない

60代男性

主訴

保険の部分入れ歯を入れていたら、金具をかけていた歯がどんどん抜けてしまい、歯が悪くなってきてしまった。歯をこれ以上失いたくない。現在入れ歯が安定しないのか噛めないのでどうにかしてほしい。
治療内容
下あごをレジリエンツテレスコープ、上あごは自費の総入れ歯にて治療。
同時に、歯周病治療、噛み合わせ治療を実施。
治療費

下あご:2本の歯を利用したレジリエンツテレスコープ 231万円(税込)。
上あご:自費の総入れ歯 132万円(税込) 。

リスク・副作用

土台となるご自身の歯を削る必要があります(削る量は個人差があります)。
治療時に出血を伴う可能性があります。

下あごは保険の部分入れ歯でしたが、金具を引っ掛けていた歯への負担が大きく残りの歯が次々と抜けてしまい、来院時には2本しか残っていませんでした。金具も目立っていて見た目も良くありません。

これ以上歯を失わないために、残っている歯を守れるレジリエンツテレスコープで治療しました。安定して噛めるようになり、金具も見えないので笑っても入れ歯と気づかれません。

case7

上の歯も奥歯もない
歯が悪くて食事がとれない

50代男性

主訴

歯が悪くて食事がとれなくなってきたので治療を受けたい。食事をとれるようにしたい
治療内容
下あごをレジリエンツテレスコープ、上あごは自費の総入れ歯で治療。同時に歯周病治療、根管治療、虫歯治療、噛み合わせ治療を実施。
治療費

下あご:2本の歯を利用したレジリエンツテレスコープ 231万円(税込)。
上あご:自費の総入れ歯 132万円(税込)。

リスク・副作用

土台となるご自身の歯を削る必要があります(削る量は個人差があります)。
治療時に出血を伴う可能性があります。

上あごは1本も歯がない、下あごは奥歯がなく残った歯もグラグラで、食事を満足にとれなくなっていました

そこで、上あごは総入れ歯にし、下あごは残っている歯を守れるレジリエンツテレスコープで治療しました。上下でしっかり噛めるようになり、お食事がとれるようになりました

case8

保険の入れ歯が噛めない
歯を1本でも多く残したい

60代女性

主訴

上下の歯を1本でも多く残したい。見た目をきれいにしたい。今までの入れ歯では噛めないので少しでも噛めるようになりたい。
治療内容
上あごをレジリエンツテレスコープ、下あごはセラミッククラウンとノンクラスプデンチャーにて治療。同時に歯周病治療、根管治療、虫歯治療、噛み合わせ治療を実施。
治療費

上あご:1本の歯を利用したレジリエンツテレスコープ 231万円(税込)。
下あご:オールジルコニアセラミッククラウン(多層ディスク)1本15万4千円(税込)×9本、ノンクラスプデンチャー38.5万円(税込)。

リスク・副作用

土台となるご自身の歯を削る必要があります(削る量は個人差があります)。
治療時に出血を伴う可能性があります。

上あごも下あごも保険の部分入れ歯噛めないため、少しでも噛めるようになりたいというご希望で来院されました。また、下の歯は詰め物の茶色い変色と保険の部分入れ歯の金具が目立っていて、見た目も良くありません。

歯を1本でも多く残したいとのことで、上あごは歯を守れるレジリエンツテレスコープで治療。1本の歯を残すことができました。下あごは変色部分をセラミックで被せ、金具がない入れ歯にし、見た目がきれいになりました。

case9

奥歯がなくなり歯がボロボロで
噛めない

50代男性

主訴

歯がボロボロになり、歯を失ったところが増えて噛めなくなりインプラントか入れ歯かの治療で悩んでいる。
治療内容
上あご下あご共にコーヌステレスコープで治療。同時に歯周病治療、根管治療、虫歯治療、噛み合わせ治療を実施。
治療費

上あご:7本の歯を利用したコーヌステレスコープ308万円(税込)。
下あご:13本の歯を利用したコーヌステレスコープ308万円(税込)

リスク・副作用

土台となるご自身の歯を削る必要があります(削る量は個人差があります)。
治療時に出血を伴う可能性があります。

上あごは奥歯がなくなって噛めず、薬の副作用による歯の変色や歯自体が小さいということもあり、見た目も良くありません。

上下ともコーヌステレスコープで治療。コーヌステレスコープは歯の上に被せる入れ歯なので、歯の変色や歯の形、大きさも変えることができます。噛めるようになるのはもちろん、口元がキレイになり歯を見せて笑えるようになりました。

case10

骨がないのでインプラントは大掛かりになると言われて怖い

40代女性

主訴

奥歯がないのでインプラントにしたいが、骨がないので大掛かりになると言われたのでインプラントが怖いので相談したい。
治療内容
リーゲルテレスコープにて治療。
治療費

2本の歯を利用したリーゲルテレスコープ 154万円(税込)。

リスク・副作用

土台となるご自身の歯を削る必要があります(削る量は個人差があります)。
治療時に出血を伴う可能性があります。

青丸の部分の奥歯が2本なく当初はインプラント治療を検討されていましたが、あごの骨が少ないので骨を増やす手術をしないとインプラント治療はできないと言われ、困って当院へ相談に来られました。

インプラントと同じくらいの治療費で、インプラントと比較しても遜色ない噛み心地と見た目の自然さを実現する、リーゲルテレスコープで治療をしました。これなら、40代の女性が使っても恥ずかしくありません。

2012年 東京歯科大学 卒業
2013年 阪口歯科 勤務(三重県)
2015年 稲葉歯科医院 勤務(東京都)
 以降、毎年日本顎咬合学会にて症例発表
2019年 ドイツ ハイデルベルク大学
 単身ドイツにわたり本場のドイツ式入れ歯をはじめインプラント分野の研修を修了
2021年 このは歯科クリニック 開院

  • 前歯のブリッジが今にも取れそう
  • お口の中がボロボロ…
  • インプラント手術はしたくない

歯を失ってお困りの方、口腔崩壊で途方に暮れている方に、心から親身に対応させて頂くことをお約束します。まずは患者さまの悩みをうかがい、ご希望をヒアリングした上で、どうすればその希望に少しでも近づけられるのか、ご提案いたします。

初診入れ歯相談でお話しを伺わせいただければ幸いです。

入れ歯治療をご検討中の方へ

当サイトのトップページです。当院の想いを語っています

当院のオーダーメイド入れ歯治療の種類と費用です

一人ひとりの悩みに寄り添うドイツ式入れ歯の症例です

残った歯にやさしいレジリエンツテレスコープの説明です

当院では無利息の分割払いによる支払が可能です

入れ歯治療の流れについて、順を追ってご説明します

どなたでも通いやすい医院づくりを心がけています

当院では院内の新型コロナウィルス対策を徹底しています

ささいなことでも結構です。入れ歯の悩みをお聞かせ下さい

院長の略歴と患者さまへの想いを語っています

アクセス

当院へのアクセス方法や診療時間をご案内します

診療時間

 
午前 × ×
午後 × ×

午前:9:00~13:00
午後:14:00~18:00
△:14:00~17:00
休診日:木曜・日曜・祝日

〒113-0001
東京都文京区白山1-33-27 HDCビル1F

都営三田線「白山駅」A2出口より徒歩1分
東京メトロ南北線「本駒込駅」より徒歩4分